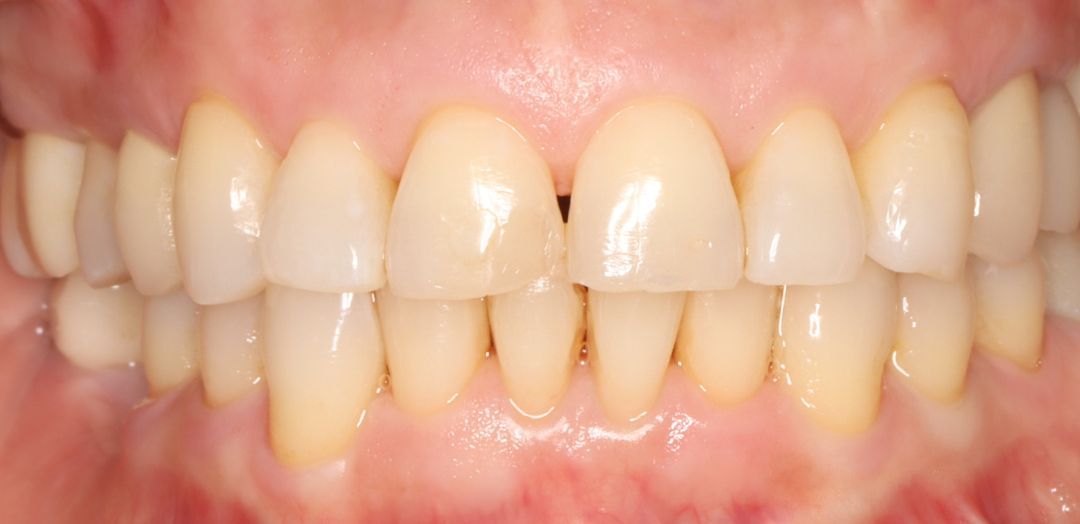
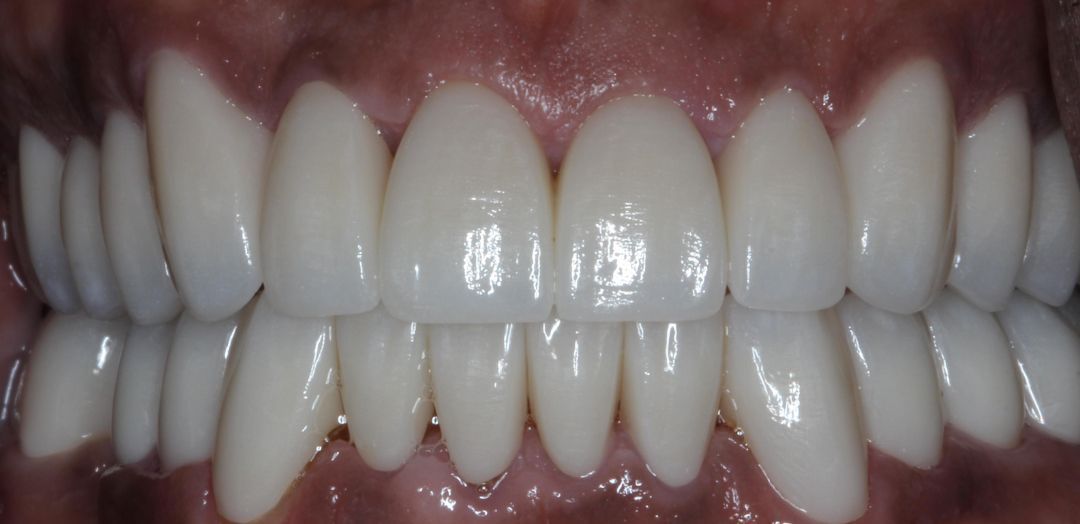
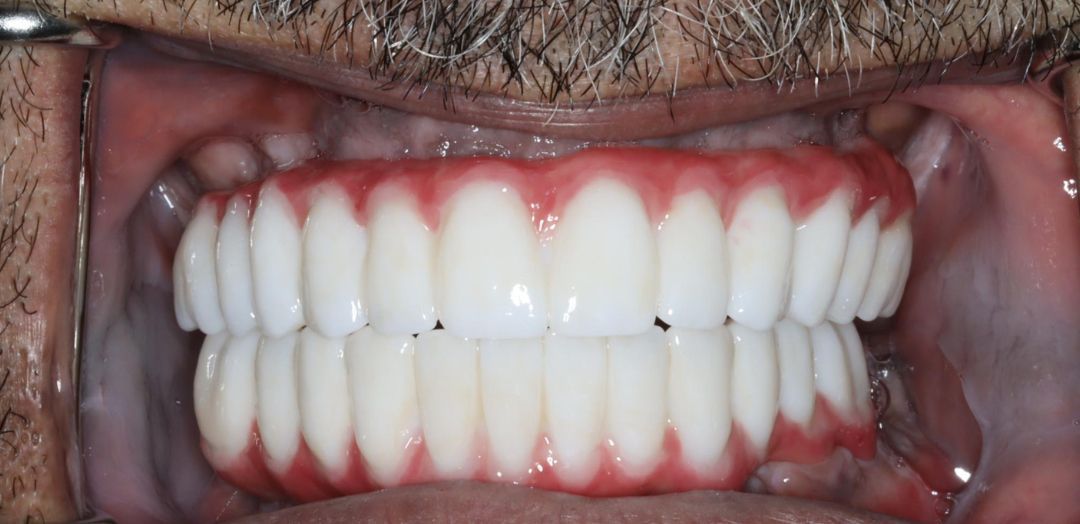
Before and After Transformations

The true measure of our work isn't the teeth themselves—it's the transformed life those teeth empower you to embrace.

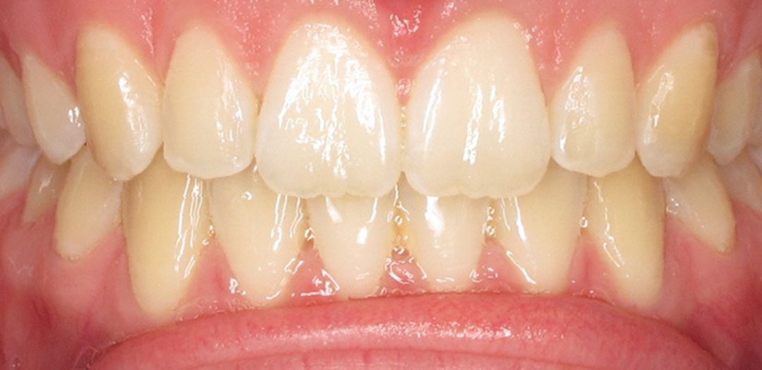
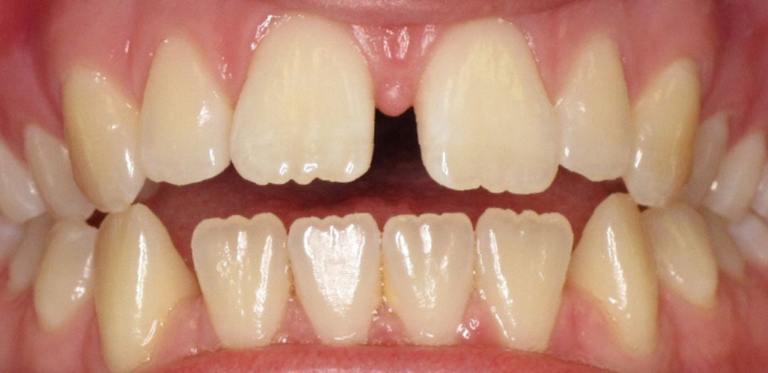
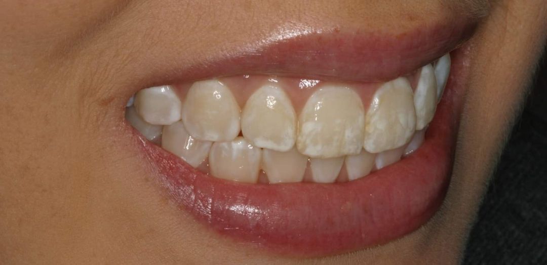
When do you fix a gummy smile? The phrase “long in the tooth” originates from the idea that receding gums make teeth appear longer and faces look older. A slight gummy smile – up to 3 millimeters – can be seen as a hallmark of youth.


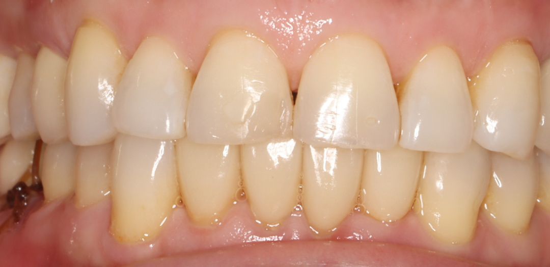
This patient’s primary concern was not gum visibility, but rather gum asymmetry. She also wanted to address the narrowness of her smile and old fillings in her front teeth.


Our approach focused on creating harmony in her gum line while slightly reducing the gumminess. We had the opportunity to reduce a lot, but favored a more conservative approach to preserve the spirit of her natural smile. By refining her teeth and gums, we crafted a smile that feels authentic – like it was hers all along.